IST
Infecções Sexualmente
Transmissíveis
Ciências da natureza
8º ano
O que são IST
São infecções causadas por vírus,
bactérias ou outros microrganismos que
se transmite, principalmente pelo
contato sexual sem camisinha com uma
pessoa infectada
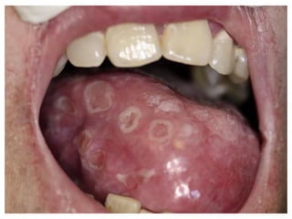
Herpes genital
É uma IST causada pelo vírus Herpes simplex
tipo 1 ou 2, que provoca lesões dolorosas na região
genital, ânus, boca ou olhos.
A transmissão ocorre pelo contato sexual ou
pela forma congênita.
O tratamento é feito com antivirais, mas não há
cura definitiva.
A prevenção é feita com o uso de preservativos
e evitar o contato com as lesões.
Cancro Mole
É uma infecção sexualmente transmissível (IST)
causada pela bactéria Haemophilus ducreyi. Esta
doença é caracterizada pelo aparecimento de feridas
dolorosas na região genital e ínguas na virilha.
A transmissão ocorre principalmente através do
contato sexual, onde a bactéria penetra a pele através
de pequenos cortes ou membranas mucosas². Não é
necessário que haja ejaculação para que ocorra a
transmissão. A bactéria pode ser transmitida através
do sexo anal, vaginal ou oral.
Cancro Mole
O tratamento do Cancro Mole geralmente é
feito com o uso de antibióticos, como azitromicina ou
ceftriaxone, que devem ser utilizados conforme a
orientação médica para garantir a eliminação da
bactéria. Além disso, é recomendado manter os
cuidados básicos de higiene, lavando a região com
água morna e, se necessário, com um sabão adequado
para a região genital.
Cancro Mole
As complicações do Cancro Mole podem incluir
fístula uretral e cicatrizes que facilitam a infecção por
outras DSTs. Quando não tratada adequadamente,
podem surgir ínguas dolorosas na região da virilha,
que podem aumentar de tamanho e se abrir, causando
a saída de pus e aumentando o risco de outras
infecções.
Clamídia
É uma IST causada pela bactéria Chlamydia
trachomatis, que infecta a uretra, o colo do útero, o
reto ou a garganta. A maioria dos casos não apresenta
sintomas, mas pode causar corrimento, dor ao urinar,
sangramento e infertilidade.
A transmissão é sexual ou vertical.
O tratamento é feito com antibióticos e a
prevenção com preservativos.
Gonorreia
É uma IST causada pela bactéria Neisseria
gonorrhoeae, que infecta a uretra, o colo do útero, o
reto, a garganta ou os olhos.
Os sintomas incluem corrimento purulento, dor ao
urinar e sangramento.
A transmissão é sexual ou vertical.
O tratamento é feito com antibióticos e a prevenção
com preservativos.
Sífilis
É uma IST causada pela bactéria Treponema
pallidum, que atinge o fígado e pode causar alterações
graves. A doença tem três estágios: primário (com
feridas indolores na região genital), secundário (com
vermelhidão na pele e ínguas) e terciário (com
comprometimento cardiovascular e neurológico).
A transmissão é sexual ou vertical (da mãe para
o bebê durante a gestação).
O tratamento é feito com penicilina e a
prevenção com preservativos.
Hepatites B e C
São ISTs causadas pelos vírus da hepatite B
(HBV) e da hepatite C (HCV), que atacam o fígado e
podem causar inflamação, cirrose e câncer. A maioria
dos casos não apresenta sintomas, mas pode haver
icterícia, dor abdominal, náuseas e fadiga.
A transmissão é sexual, sanguínea ou vertical.
O tratamento é feito com antivirais e a
prevenção com vacina (para hepatite B), preservativos
e não compartilhamento de agulhas.
HTLV
É uma IST causada pelo vírus T-linfotrópico
humano (HTLV), que infecta os linfócitos T, um tipo de
célula de defesa do organismo. A maioria dos casos
não apresenta sintomas, mas pode causar paraparesia
espástica tropical (dificuldade para andar e
movimentar as pernas), leucemia ou linfoma de
células T e outras doenças associadas.
A transmissão é sexual, sanguínea ou vertical.
Não há tratamento específico nem vacina para
o HTLV.
A prevenção é feita com preservativos e não
compartilhamento de agulhas.
uveíte
HPV
É uma IST causada pelo papilomavírus humano
(HPV), que provoca verrugas genitais e pode levar ao
câncer do colo do útero, ânus, pênis ou garganta.
A transmissão é sexual ou vertical (da mãe para
o bebê durante a gestação).
O tratamento depende do tipo de lesão e pode
incluir medicamentos tópicos, crioterapia ou cirurgia.
A prevenção é feita com preservativos e vacina
contra o HPV.
Donovanose
A Donovanose, também conhecida como
granuloma venéreo ou granuloma inguinal, é uma
infecção sexualmente transmissível (IST) crônica e
progressiva, causada pela bactéria Klebsiella
granulomatis. Ela acomete preferencialmente a pele e
mucosas das regiões da genitália, da virilha e do ânus.
A principal forma de transmissão da
Donovanose é através da relação sexual desprotegida,
ou seja, sem preservativo. Embora seja raro, a
Donovanose pode ser transmitida por contato não
sexual, como no caso da transmissão fecal, ou durante
o parto vaginal.
Donovanose
O tratamento para Donovanose é simples e
envolve o uso de antibióticos, como a Azitromicina ou,
em alternativa a ela, a Doxiciclina, o Ciprofloxacino ou
o Trimetoprim-sulfametoxazol⁹. O tratamento deve
ser orientado pelo ginecologista ou urologista.
A melhor forma de prevenir a Donovanose é
usando preservativo em todas as relações sexuais⁷.
Além disso, é preciso evitar relações sexuais enquanto
as feridas estiverem aparentes e enquanto o
tratamento estiver em andamento.
Donovanose
As complicações da Donovanose podem incluir
disseminação da infecção para órgãos internos,
podendo causar osteomielite ou poliartrite, por
exemplo. Outras complicações podem ser
sangramento vaginal, estreitamento do canal vaginal,
anal ou uretra, cicatrizes no pênis ou bolsa escrotal,
câncer, inchaço crônico de uma das pernas (ocorre
quando há obstrução linfática), inchaço crônico dos
genitais e cicatrização com muita fibrose podendo
levar a fimose ou outras deformidades funcionais.
Tricomonas
É uma IST causada pelo protozoário
Trichomonas vaginalis. É a doença sexualmente
transmissível não-viral mais comum em todo o
mundo, acometendo cerca de 170 milhões de pessoas.
Nas mulheres, a tricomoníase é uma das principais
causas de vaginite (infecção da vagina), levando
frequentemente a queixas como corrimento vaginal
com mau cheiro, coceira genital e dor ao urinar. Por
outro lado, nos homens, a infecção é, na maioria dos
casos, assintomática.
A transmissão ocorre pelo sexo desprotegido
com uma pessoa infectada.
O tratamento é feito com antibióticos.
HIV
É uma IST causada pelo vírus da
imunodeficiência humana (HIV), que ataca o sistema
imunológico e pode levar à síndrome da
imunodeficiência adquirida (AIDS). A maioria dos
casos não apresenta sintomas, mas pode haver febre,
dor de cabeça, dor muscular e erupção cutânea.
A transmissão é sexual, sanguínea ou vertical.
O tratamento é feito com antirretrovirais e a
prevenção com preservativos, não compartilhamento
de agulhas e profilaxia pré-exposição (PrEP).
Linfogranuloma venério (LGV)
O LGV é uma infecção sexualmente
transmissível causada pela bactéria Chlamydia
trachomatis, que atinge os órgãos genitais e os
gânglios da virilha. É popularmente conhecida como
“mula”.
A transmissão ocorre pelo sexo desprotegido
com uma pessoa infectada.
Os sintomas incluem feridas nos órgãos genitais
e outros (pênis, vagina, colo do útero, ânus e boca), as
quais, muitas vezes, não são percebidas e
desaparecem sem tratamento.
Linfogranuloma venério (LGV)
Entre uma a seis semanas após a ferida inicial,
surge um inchaço doloroso (caroço ou íngua) na
virilha, que, se não for tratado, rompe-se, com a saída
de pus. Pode haver sintomas por todo o corpo, como
dores nas articulações, febre e mal-estar.
Quando não tratada adequadamente, a infecção
pode agravar-se, causando elefantíase (acúmulo de
linfa no pênis, escroto e vulva).
O diagnóstico e o tratamento são feitos em um
serviço de saúde.

IST.pdf

  • 1.
  • 2.
    O que sãoIST São infecções causadas por vírus, bactérias ou outros microrganismos que se transmite, principalmente pelo contato sexual sem camisinha com uma pessoa infectada
  • 3.
    Herpes genital É umaIST causada pelo vírus Herpes simplex tipo 1 ou 2, que provoca lesões dolorosas na região genital, ânus, boca ou olhos. A transmissão ocorre pelo contato sexual ou pela forma congênita. O tratamento é feito com antivirais, mas não há cura definitiva. A prevenção é feita com o uso de preservativos e evitar o contato com as lesões.
  • 12.
    Cancro Mole É umainfecção sexualmente transmissível (IST) causada pela bactéria Haemophilus ducreyi. Esta doença é caracterizada pelo aparecimento de feridas dolorosas na região genital e ínguas na virilha. A transmissão ocorre principalmente através do contato sexual, onde a bactéria penetra a pele através de pequenos cortes ou membranas mucosas². Não é necessário que haja ejaculação para que ocorra a transmissão. A bactéria pode ser transmitida através do sexo anal, vaginal ou oral.
  • 13.
    Cancro Mole O tratamentodo Cancro Mole geralmente é feito com o uso de antibióticos, como azitromicina ou ceftriaxone, que devem ser utilizados conforme a orientação médica para garantir a eliminação da bactéria. Além disso, é recomendado manter os cuidados básicos de higiene, lavando a região com água morna e, se necessário, com um sabão adequado para a região genital.
  • 14.
    Cancro Mole As complicaçõesdo Cancro Mole podem incluir fístula uretral e cicatrizes que facilitam a infecção por outras DSTs. Quando não tratada adequadamente, podem surgir ínguas dolorosas na região da virilha, que podem aumentar de tamanho e se abrir, causando a saída de pus e aumentando o risco de outras infecções.
  • 20.
    Clamídia É uma ISTcausada pela bactéria Chlamydia trachomatis, que infecta a uretra, o colo do útero, o reto ou a garganta. A maioria dos casos não apresenta sintomas, mas pode causar corrimento, dor ao urinar, sangramento e infertilidade. A transmissão é sexual ou vertical. O tratamento é feito com antibióticos e a prevenção com preservativos.
  • 24.
    Gonorreia É uma ISTcausada pela bactéria Neisseria gonorrhoeae, que infecta a uretra, o colo do útero, o reto, a garganta ou os olhos. Os sintomas incluem corrimento purulento, dor ao urinar e sangramento. A transmissão é sexual ou vertical. O tratamento é feito com antibióticos e a prevenção com preservativos.
  • 28.
    Sífilis É uma ISTcausada pela bactéria Treponema pallidum, que atinge o fígado e pode causar alterações graves. A doença tem três estágios: primário (com feridas indolores na região genital), secundário (com vermelhidão na pele e ínguas) e terciário (com comprometimento cardiovascular e neurológico). A transmissão é sexual ou vertical (da mãe para o bebê durante a gestação). O tratamento é feito com penicilina e a prevenção com preservativos.
  • 36.
    Hepatites B eC São ISTs causadas pelos vírus da hepatite B (HBV) e da hepatite C (HCV), que atacam o fígado e podem causar inflamação, cirrose e câncer. A maioria dos casos não apresenta sintomas, mas pode haver icterícia, dor abdominal, náuseas e fadiga. A transmissão é sexual, sanguínea ou vertical. O tratamento é feito com antivirais e a prevenção com vacina (para hepatite B), preservativos e não compartilhamento de agulhas.
  • 40.
    HTLV É uma ISTcausada pelo vírus T-linfotrópico humano (HTLV), que infecta os linfócitos T, um tipo de célula de defesa do organismo. A maioria dos casos não apresenta sintomas, mas pode causar paraparesia espástica tropical (dificuldade para andar e movimentar as pernas), leucemia ou linfoma de células T e outras doenças associadas. A transmissão é sexual, sanguínea ou vertical. Não há tratamento específico nem vacina para o HTLV. A prevenção é feita com preservativos e não compartilhamento de agulhas.
  • 41.
  • 42.
    HPV É uma ISTcausada pelo papilomavírus humano (HPV), que provoca verrugas genitais e pode levar ao câncer do colo do útero, ânus, pênis ou garganta. A transmissão é sexual ou vertical (da mãe para o bebê durante a gestação). O tratamento depende do tipo de lesão e pode incluir medicamentos tópicos, crioterapia ou cirurgia. A prevenção é feita com preservativos e vacina contra o HPV.
  • 51.
    Donovanose A Donovanose, tambémconhecida como granuloma venéreo ou granuloma inguinal, é uma infecção sexualmente transmissível (IST) crônica e progressiva, causada pela bactéria Klebsiella granulomatis. Ela acomete preferencialmente a pele e mucosas das regiões da genitália, da virilha e do ânus. A principal forma de transmissão da Donovanose é através da relação sexual desprotegida, ou seja, sem preservativo. Embora seja raro, a Donovanose pode ser transmitida por contato não sexual, como no caso da transmissão fecal, ou durante o parto vaginal.
  • 52.
    Donovanose O tratamento paraDonovanose é simples e envolve o uso de antibióticos, como a Azitromicina ou, em alternativa a ela, a Doxiciclina, o Ciprofloxacino ou o Trimetoprim-sulfametoxazol⁹. O tratamento deve ser orientado pelo ginecologista ou urologista. A melhor forma de prevenir a Donovanose é usando preservativo em todas as relações sexuais⁷. Além disso, é preciso evitar relações sexuais enquanto as feridas estiverem aparentes e enquanto o tratamento estiver em andamento.
  • 53.
    Donovanose As complicações daDonovanose podem incluir disseminação da infecção para órgãos internos, podendo causar osteomielite ou poliartrite, por exemplo. Outras complicações podem ser sangramento vaginal, estreitamento do canal vaginal, anal ou uretra, cicatrizes no pênis ou bolsa escrotal, câncer, inchaço crônico de uma das pernas (ocorre quando há obstrução linfática), inchaço crônico dos genitais e cicatrização com muita fibrose podendo levar a fimose ou outras deformidades funcionais.
  • 56.
    Tricomonas É uma ISTcausada pelo protozoário Trichomonas vaginalis. É a doença sexualmente transmissível não-viral mais comum em todo o mundo, acometendo cerca de 170 milhões de pessoas. Nas mulheres, a tricomoníase é uma das principais causas de vaginite (infecção da vagina), levando frequentemente a queixas como corrimento vaginal com mau cheiro, coceira genital e dor ao urinar. Por outro lado, nos homens, a infecção é, na maioria dos casos, assintomática. A transmissão ocorre pelo sexo desprotegido com uma pessoa infectada. O tratamento é feito com antibióticos.
  • 57.
    HIV É uma ISTcausada pelo vírus da imunodeficiência humana (HIV), que ataca o sistema imunológico e pode levar à síndrome da imunodeficiência adquirida (AIDS). A maioria dos casos não apresenta sintomas, mas pode haver febre, dor de cabeça, dor muscular e erupção cutânea. A transmissão é sexual, sanguínea ou vertical. O tratamento é feito com antirretrovirais e a prevenção com preservativos, não compartilhamento de agulhas e profilaxia pré-exposição (PrEP).
  • 62.
    Linfogranuloma venério (LGV) OLGV é uma infecção sexualmente transmissível causada pela bactéria Chlamydia trachomatis, que atinge os órgãos genitais e os gânglios da virilha. É popularmente conhecida como “mula”. A transmissão ocorre pelo sexo desprotegido com uma pessoa infectada. Os sintomas incluem feridas nos órgãos genitais e outros (pênis, vagina, colo do útero, ânus e boca), as quais, muitas vezes, não são percebidas e desaparecem sem tratamento.
  • 63.
    Linfogranuloma venério (LGV) Entreuma a seis semanas após a ferida inicial, surge um inchaço doloroso (caroço ou íngua) na virilha, que, se não for tratado, rompe-se, com a saída de pus. Pode haver sintomas por todo o corpo, como dores nas articulações, febre e mal-estar. Quando não tratada adequadamente, a infecção pode agravar-se, causando elefantíase (acúmulo de linfa no pênis, escroto e vulva). O diagnóstico e o tratamento são feitos em um serviço de saúde.