Transfira gratuitamente durante 30 dias
Fazer login
Carregar
Idioma (PT)
Suporte
Negócios
Celular
Mídias sociais
Marketing
Tecnologia
Arte e fotografia
Carreiras
Design
Educação
Apresentações e oratória
Governo e ONGs
Saúde
Internet
Direito
Liderança e gerenciamento
Indústria automotiva
Engenharia
Software
Recrutamento e RH
Varejo
Vendas
Serviços
Ciências
Pequenos negócios e empreendedorismo
Alimentos
Meio ambiente
Economia e finanças
Dados e análise
Relação com investidores
Esportes
Espiritual
Notícias e política
Turismo
Aperfeiçoamento pessoal
Imóveis
Diversão e humor
Saúde e medicina
Dispositivos e hardware
Estilo de vida
Mudar o idioma
Idioma
English
Español
Português
Français
Deutsche
Cancelar
Salvar
PT
Carregado por
ricketts
PPTX, PDF
591 visualizações
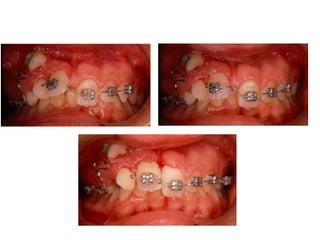
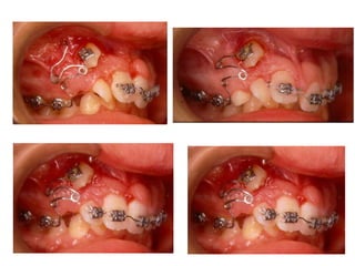
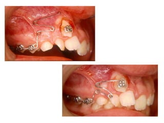
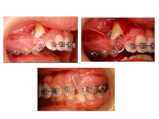
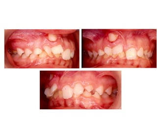
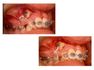
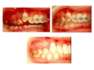
Transposição Total
TRANSPOSIÇÃO TOTAL - CANINO COM INCISIVO LATERAL MANOBRAS PARA CORREÇÃO DA ROTA DE ERUPÇÃO
Educação
◦
Leia mais
0
Salvar
Compartilhar
Incorporar
Incorporar apresentação
Baixar
Baixar para ler offline
1
/ 15
2
/ 15
3
/ 15
4
/ 15
5
/ 15
6
/ 15
7
/ 15
8
/ 15
9
/ 15
10
/ 15
11
/ 15
12
/ 15
13
/ 15
14
/ 15
15
/ 15
Mais conteúdo relacionado
PDF
Artificial Intelligence, Data and Competition – SCHREPEL – June 2024 OECD dis...
por
OECD Directorate for Financial and Enterprise Affairs
PDF
How to Leverage AI to Boost Employee Wellness - Lydia Di Francesco - SocialHR...
por
SocialHRCamp
PDF
Storytelling For The Web: Integrate Storytelling in your Design Process
por
Chiara Aliotta
PDF
2024 State of Marketing Report – by Hubspot
por
Marius Sescu
PDF
2024 Trend Updates: What Really Works In SEO & Content Marketing
por
Search Engine Journal
PDF
Everything You Need To Know About ChatGPT
por
Expeed Software
PDF
Alterações pulpares durante a movimentação ortodontica
por
Adalberto Caldeira Brant Filho
PDF
Apostila ( Ortodontia Otimizada ) TYPODONT STRAIGHT WIRE 2
por
Marcelo Gomes
Artificial Intelligence, Data and Competition – SCHREPEL – June 2024 OECD dis...
por
OECD Directorate for Financial and Enterprise Affairs
How to Leverage AI to Boost Employee Wellness - Lydia Di Francesco - SocialHR...
por
SocialHRCamp
Storytelling For The Web: Integrate Storytelling in your Design Process
por
Chiara Aliotta
2024 State of Marketing Report – by Hubspot
por
Marius Sescu
2024 Trend Updates: What Really Works In SEO & Content Marketing
por
Search Engine Journal
Everything You Need To Know About ChatGPT
por
Expeed Software
Alterações pulpares durante a movimentação ortodontica
por
Adalberto Caldeira Brant Filho
Apostila ( Ortodontia Otimizada ) TYPODONT STRAIGHT WIRE 2
por
Marcelo Gomes
Último
PPTX
Multiplicao e Divisão de Nímeros Inteiros.pptx
por
matheuspawlaksilva
PPT
ESTUDO ORIENTADO.ppt Orientações ao professor
por
profecellnazario
PPTX
Aula 7 - Concordância Nominal e exemplos.pptx
por
SauloManoel3
PPTX
Apresentação - Contabilidade Financeira Aula 1.pptx
por
GeordannaGeyse
PPTX
TREINAMENTO PERCEPÇÃO DE RISCO + videos e dinemicas.pptx
por
sesmtgrupobrasitec
PDF
Meu Passado Me Persegue - parte 2 E-BOOK
por
Dickerson Costa
PPTX
Aula expositiva sobre o Genero textual Resenha.pptx
por
Cintia Corrêa
PPTX
Slides Lição 9, CPAD, Espírito SANTO, O Regenerador, 1Tr26.pptx
por
Assembleia de Deus
PDF
Slides Aula - Números Naturais, Inteiros, Racionais e Reais.pdf
por
MarceloSvioRamos
PPTX
1 - Origem e evolução humana.pptx/Origem e evolução humana.pptx
por
DeboraFurtado1
PPT
fsicacalorimetria fisica do ensino medio .ppt
por
ThalesMartins20
PPTX
Relatório de estágio pedagógico Supervisionado
por
esmeraldoxavierdicks
PDF
professor_de_matematica_educacaonhgf_basica_ii.pdf
por
allyssonmat25
PPTX
Entrevista - PowerPoint - Português - 3.º ano
por
ssuser670bb7
PPT
enzimas biológicas e seus conceitos básicos
por
filipecavalcante23
PDF
MONDIM II - APONTAMENTOS PARA A HISTÓRIA DE S.CRISTÓVÃO DE MONDIM.pdf
por
TeixeiraLopes3
PPTX
Primeira República. O nascimento do Brasil
por
JudsonSantos6
PPTX
Educação tecnologia e inovação-PEDAGOGIA S1-01.pptx
por
RodrigoGuedesBoer1
PDF
Património cultural dos Caretos de Podence, Lazarim, Varge, Ousilhão e Bempo...
por
Artur Filipe dos Santos
PDF
Módulo 4 - Noções de Higiene e Seguranca no Trabalho.pdf
por
filiparuivoempower
Multiplicao e Divisão de Nímeros Inteiros.pptx
por
matheuspawlaksilva
ESTUDO ORIENTADO.ppt Orientações ao professor
por
profecellnazario
Aula 7 - Concordância Nominal e exemplos.pptx
por
SauloManoel3
Apresentação - Contabilidade Financeira Aula 1.pptx
por
GeordannaGeyse
TREINAMENTO PERCEPÇÃO DE RISCO + videos e dinemicas.pptx
por
sesmtgrupobrasitec
Meu Passado Me Persegue - parte 2 E-BOOK
por
Dickerson Costa
Aula expositiva sobre o Genero textual Resenha.pptx
por
Cintia Corrêa
Slides Lição 9, CPAD, Espírito SANTO, O Regenerador, 1Tr26.pptx
por
Assembleia de Deus
Slides Aula - Números Naturais, Inteiros, Racionais e Reais.pdf
por
MarceloSvioRamos
1 - Origem e evolução humana.pptx/Origem e evolução humana.pptx
por
DeboraFurtado1
fsicacalorimetria fisica do ensino medio .ppt
por
ThalesMartins20
Relatório de estágio pedagógico Supervisionado
por
esmeraldoxavierdicks
professor_de_matematica_educacaonhgf_basica_ii.pdf
por
allyssonmat25
Entrevista - PowerPoint - Português - 3.º ano
por
ssuser670bb7
enzimas biológicas e seus conceitos básicos
por
filipecavalcante23
MONDIM II - APONTAMENTOS PARA A HISTÓRIA DE S.CRISTÓVÃO DE MONDIM.pdf
por
TeixeiraLopes3
Primeira República. O nascimento do Brasil
por
JudsonSantos6
Educação tecnologia e inovação-PEDAGOGIA S1-01.pptx
por
RodrigoGuedesBoer1
Património cultural dos Caretos de Podence, Lazarim, Varge, Ousilhão e Bempo...
por
Artur Filipe dos Santos
Módulo 4 - Noções de Higiene e Seguranca no Trabalho.pdf
por
filiparuivoempower
Destaque
PDF
Product Design Trends in 2024 | Teenage Engineerings
por
Pixeldarts
PDF
How Race, Age and Gender Shape Attitudes Towards Mental Health
por
ThinkNow
PDF
AI Trends in Creative Operations 2024 by Artwork Flow.pdf
por
marketingartwork
PDF
Skeleton Culture Code
por
Skeleton Technologies
PDF
PEPSICO Presentation to CAGNY Conference Feb 2024
por
Neil Kimberley
PDF
Content Methodology: A Best Practices Report (Webinar)
por
contently
PPTX
How to Prepare For a Successful Job Search for 2024
por
Albert Qian
PDF
Social Media Marketing Trends 2024 // The Global Indie Insights
por
Kurio // The Social Media Age(ncy)
PDF
Trends In Paid Search: Navigating The Digital Landscape In 2024
por
Search Engine Journal
PDF
5 Public speaking tips from TED - Visualized summary
por
SpeakerHub
PDF
ChatGPT and the Future of Work - Clark Boyd
por
Clark Boyd
PDF
Getting into the tech field. what next
por
Tessa Mero
PDF
Google's Just Not That Into You: Understanding Core Updates & Search Intent
por
Lily Ray
PDF
How to have difficult conversations
por
Rajiv Jayarajah, MAppComm, ACC
PDF
Introduction to Data Science
por
Christy Abraham Joy
PDF
Time Management & Productivity - Best Practices
por
Vit Horky
PDF
The six step guide to practical project management
por
MindGenius
PDF
Beginners Guide to TikTok for Search - Rachel Pearson - We are Tilt __ Bright...
por
RachelPearson36
PDF
Unlocking the Power of ChatGPT and AI in Testing - A Real-World Look, present...
por
Applitools
PDF
12 Ways to Increase Your Influence at Work
por
GetSmarter
Product Design Trends in 2024 | Teenage Engineerings
por
Pixeldarts
How Race, Age and Gender Shape Attitudes Towards Mental Health
por
ThinkNow
AI Trends in Creative Operations 2024 by Artwork Flow.pdf
por
marketingartwork
Skeleton Culture Code
por
Skeleton Technologies
PEPSICO Presentation to CAGNY Conference Feb 2024
por
Neil Kimberley
Content Methodology: A Best Practices Report (Webinar)
por
contently
How to Prepare For a Successful Job Search for 2024
por
Albert Qian
Social Media Marketing Trends 2024 // The Global Indie Insights
por
Kurio // The Social Media Age(ncy)
Trends In Paid Search: Navigating The Digital Landscape In 2024
por
Search Engine Journal
5 Public speaking tips from TED - Visualized summary
por
SpeakerHub
ChatGPT and the Future of Work - Clark Boyd
por
Clark Boyd
Getting into the tech field. what next
por
Tessa Mero
Google's Just Not That Into You: Understanding Core Updates & Search Intent
por
Lily Ray
How to have difficult conversations
por
Rajiv Jayarajah, MAppComm, ACC
Introduction to Data Science
por
Christy Abraham Joy
Time Management & Productivity - Best Practices
por
Vit Horky
The six step guide to practical project management
por
MindGenius
Beginners Guide to TikTok for Search - Rachel Pearson - We are Tilt __ Bright...
por
RachelPearson36
Unlocking the Power of ChatGPT and AI in Testing - A Real-World Look, present...
por
Applitools
12 Ways to Increase Your Influence at Work
por
GetSmarter
Baixar