MR3 Roberto Corrêa
14/06/2012
Baseline: 4,6 + 5,4= 10,0cm.
Follow-up: 3,3 + 2,7= 6,0 cm.
Decréscimo de 40% na soma das lesões= resposta parcial.
Homem de 64 anos com câncer de cólon
Mulher de 75 anos com história de neoplasia pulmonar
Mulher de 52 anos com neoplasia pulmonar
Lesões não mensuráveis
Mulher de 59 anos com câncer de mama
Homem de 45 anos com câncer gástrico. Ascite maligna.
Mulher de 70 anos com câncer de pulmão. Linfangite carcinomatosa
Exemplo de progressão de lesões não alvo
Diferença RECIST 1.0 versus 1.1


Número de lesões alvo por órgão: 2
Número total de lesões alvo: 5
Metanálise de 16 trials: não alterou resposta global; mínima
influência na sobrevida livre de doença.
Diferença RECIST 1.0 versus 1.1


Avaliação dos linfonodos:
Linfonodos: eixo curto ≥ 15mm: lesão mensurável (target lesion);
Linfonodos: eixo curto < 10mm: “não patológicos”;
Linfonodos: eixo curto ≥ 10mm e < 15mm: nontarget lesions;
Diferença RECIST 1.0 versus 1.1

Classificação de progressão de doença:
Aumento absoluto de 5mm na soma dos diâmetros das lesões alvo e
aumento de 20% dessa soma;
Essa mudança foi importante para melhor avaliar as lesões de pequeno
volume.
Critério de CHOI:
Redução de 10% no diâmetro da lesão alvo ou;
Redução de 15% da atenuação da lesão na TC.
Lesões pulmonares escavadas:
Controverso o método de mensuração.
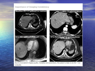
Diferença da avaliação em relação à fase do contraste




    fase arterial                           Fase portal
Progressão de doença
Obrigado

Recist