GLAUCOMA

         UNC
Cátedra de Oftalmología
         HNC
  Dr. Marcos Cendali
GLAUCOMA


                     •Primarios




CLASIFICACION        •Secundarios




                     •Congénitos
GLAUCOMA



               •De Angulo Cerrado


PRIMARIOS

               •De Angulo Abierto
Glaucoma 1º de Ang
               cerrado
• Definición:
              Afeccion mecanica y
  biometrica, que predisponen al ojo que
  bajo ciertas influencias, se produzca un
  cierre del angulo camerular, con
  hipertonia.
Glaucoma 1º de Ang
               cerrado
•   Historia:
          * Bannister y Guthrie
          * Donders
          * Trantas
          * Uribe Troncoso-Barkan
Glaucoma 1º de Ang
               cerrado

•   Relacion 1/10 con POAG
•   Mayor en mujeres
•   Pico en la sexta decada
•   Raza: Amarilla-Blanca-Negra
•   Hipermetropes-Emetropes-Miopes
Glaucoma 1º de Ang
               cerrado

•   Fisiopatogenia:
          * Mecanismo
          * Tamaño
          * Herencia
Glaucoma 1º de Ang
               cerrado

•   Fisiopatogenia:

          * Mecanismo
          * Tamaño
          * Herencia
Glaucoma 1º de
             Ang cerrado
•   Tamaño:
         * Camara anterior
         * Largo axil
         * Cornea
         * Cristalino
         * Angulo camerular
Glaucoma 1º de Ang
               cerrado
•   Tamaño:
         * Cámara anterior
         * Largo axil
         * Cornea
         * Cristalino
         * Angulo camerular
Glaucoma 1º de Ang
         cerrado
           Largo axil


Normales                PCAG



24 mm                   22.86 mm
Glaucoma 1º de Ang
               cerrado
•   Tamaño:
         * Cámara anterior
         * Largo axil
         * Cornea
         * Cristalino
         * Angulo camerular
Glaucoma 1º de
               Ang cerrado


•   Cornea:

         * Radio de curvatura menor
Glaucoma 1º de Ang
               cerrado
•   Cornea:
         * Radio de curvatura menor
         * Cúpula corneal <
Glaucoma 1º de Ang
              cerrado
•   Cornea:

         * Radio de curvatura menor
         * Cúpula corneal <
         * Angulo de aplanamiento corneal
    <
Glaucoma 1º de Ang
               cerrado
•   Tamaño:
         * Cámara anterior
         * Largo axil
         * Cornea
         * Cristalino
         * Angulo camerular
Glaucoma 1º de Ang
                cerrado

•   Cristalino:

           * Mayor Espesor
           * Inserción mas anterior
Glaucoma 1º de Ang
                cerrado
•   Tamaño:
         * Camara anterior
         * Largo axil
         * Cornea
         * Cristalino
         * Angulo camerular
Glaucoma 1º de Ang
                cerrado
•   Fisiopatogenia:

          * Mecanismo
          * Tamaño
          * Herencia
Glaucoma 1º de Ang
          cerrado
•   Factores desencadenantes:

    * Bloqueo pupilar
    * Bloqueo trabecular
Glaucoma 1º de Ang
               cerrado
•   Bloqueo pupilar:

          * Oscuridad
          * Medicacion
          * Intoxicaciones
          * Factores emocionales
Glaucoma 1º de Ang
              cerrado

•   Pruebas de provocacion:

          * Midriaticos
          * Midriaticos-Mioticos
          * Oscuridad
          * Lectura
          * Procubito
Glaucoma 1º de Ang
              cerrado
•   Clinica:

           * Dolor
           * Ojo rojo
           * Dism. de la AV (Halos)
           * Vomitos
Glaucoma 1º de Ang
               cerrado
•   Signos:

          * PIO muy elevada
          * Inyeccion ciliar
Glaucoma 1º de Ang
                cerrado
•   Signos:

          * PIO muy elevada
          * Inyeccion ciliar
          * Edema de cornea
Glaucoma 1º de Ang
               cerrado
•   Signos:

          * PIO muy elevada
          * Inyeccion ciliar
          * Edema de cornea
          * CA baja
Glaucoma 1º de Ang
      cerrado
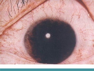
Glaucoma 1º de Ang
                    cerrado
•   Signos:

          * PIO muy elevada
          * Inyeccion ciliar
          * Edema de cornea
          * CA baja
          * Midriasis
Glaucoma 1º de Ang
      cerrado
   Gonioscopia
Glaucoma 1º de Ang
               cerrado
•   Reversibilidad del bloqueo
Glaucoma 1º de Ang
                cerrado
•   Tratamiento Medico:
          * Diamox (c/6hs)
          * Mioticos (c/min- 15 min, luego c/
    30 min-6hs)
          * Otras drogas
          * Hiperosmoticos
Glaucoma 1º de Ang
                cerrado
•   Tratamiento Qx:

          * Iridotomia laser
          * Iridectomia Qx
          * Cirugia
Glaucoma 1º de Ang
               cerrado
•   Complicaciones:
               Nervio optico
Glaucoma 1º de Ang
               cerrado
•   Complicaciones:

          * Nervio optico
          * Cristalino
Glaucoma 1º de Ang
               cerrado
•   Complicaciones:

          * Nervio optico
          * Cristalino
          * Iris
Glaucoma 1º de Ang
               cerrado
•   Complicaciones:

          * Nervio optico
          * Cristalino
          * Iris
          * Cornea
MUCHAS
GRACIAS

Glaucoma de angulo cerrado

  • 1.
    GLAUCOMA UNC Cátedra de Oftalmología HNC Dr. Marcos Cendali
  • 2.
    GLAUCOMA •Primarios CLASIFICACION •Secundarios •Congénitos
  • 3.
    GLAUCOMA •De Angulo Cerrado PRIMARIOS •De Angulo Abierto
  • 4.
    Glaucoma 1º deAng cerrado • Definición: Afeccion mecanica y biometrica, que predisponen al ojo que bajo ciertas influencias, se produzca un cierre del angulo camerular, con hipertonia.
  • 5.
    Glaucoma 1º deAng cerrado • Historia: * Bannister y Guthrie * Donders * Trantas * Uribe Troncoso-Barkan
  • 6.
    Glaucoma 1º deAng cerrado • Relacion 1/10 con POAG • Mayor en mujeres • Pico en la sexta decada • Raza: Amarilla-Blanca-Negra • Hipermetropes-Emetropes-Miopes
  • 7.
    Glaucoma 1º deAng cerrado • Fisiopatogenia: * Mecanismo * Tamaño * Herencia
  • 8.
    Glaucoma 1º deAng cerrado • Fisiopatogenia: * Mecanismo * Tamaño * Herencia
  • 9.
    Glaucoma 1º de Ang cerrado • Tamaño: * Camara anterior * Largo axil * Cornea * Cristalino * Angulo camerular
  • 11.
    Glaucoma 1º deAng cerrado • Tamaño: * Cámara anterior * Largo axil * Cornea * Cristalino * Angulo camerular
  • 12.
    Glaucoma 1º deAng cerrado Largo axil Normales PCAG 24 mm 22.86 mm
  • 13.
    Glaucoma 1º deAng cerrado • Tamaño: * Cámara anterior * Largo axil * Cornea * Cristalino * Angulo camerular
  • 14.
    Glaucoma 1º de Ang cerrado • Cornea: * Radio de curvatura menor
  • 16.
    Glaucoma 1º deAng cerrado • Cornea: * Radio de curvatura menor * Cúpula corneal <
  • 17.
    Glaucoma 1º deAng cerrado • Cornea: * Radio de curvatura menor * Cúpula corneal < * Angulo de aplanamiento corneal <
  • 18.
    Glaucoma 1º deAng cerrado • Tamaño: * Cámara anterior * Largo axil * Cornea * Cristalino * Angulo camerular
  • 19.
    Glaucoma 1º deAng cerrado • Cristalino: * Mayor Espesor * Inserción mas anterior
  • 22.
    Glaucoma 1º deAng cerrado • Tamaño: * Camara anterior * Largo axil * Cornea * Cristalino * Angulo camerular
  • 24.
    Glaucoma 1º deAng cerrado • Fisiopatogenia: * Mecanismo * Tamaño * Herencia
  • 25.
    Glaucoma 1º deAng cerrado • Factores desencadenantes: * Bloqueo pupilar * Bloqueo trabecular
  • 29.
    Glaucoma 1º deAng cerrado • Bloqueo pupilar: * Oscuridad * Medicacion * Intoxicaciones * Factores emocionales
  • 30.
    Glaucoma 1º deAng cerrado • Pruebas de provocacion: * Midriaticos * Midriaticos-Mioticos * Oscuridad * Lectura * Procubito
  • 31.
    Glaucoma 1º deAng cerrado • Clinica: * Dolor * Ojo rojo * Dism. de la AV (Halos) * Vomitos
  • 32.
    Glaucoma 1º deAng cerrado • Signos: * PIO muy elevada * Inyeccion ciliar
  • 33.
    Glaucoma 1º deAng cerrado • Signos: * PIO muy elevada * Inyeccion ciliar * Edema de cornea
  • 35.
    Glaucoma 1º deAng cerrado • Signos: * PIO muy elevada * Inyeccion ciliar * Edema de cornea * CA baja
  • 36.
    Glaucoma 1º deAng cerrado
  • 37.
    Glaucoma 1º deAng cerrado • Signos: * PIO muy elevada * Inyeccion ciliar * Edema de cornea * CA baja * Midriasis
  • 38.
    Glaucoma 1º deAng cerrado Gonioscopia
  • 39.
    Glaucoma 1º deAng cerrado • Reversibilidad del bloqueo
  • 41.
    Glaucoma 1º deAng cerrado • Tratamiento Medico: * Diamox (c/6hs) * Mioticos (c/min- 15 min, luego c/ 30 min-6hs) * Otras drogas * Hiperosmoticos
  • 42.
    Glaucoma 1º deAng cerrado • Tratamiento Qx: * Iridotomia laser * Iridectomia Qx * Cirugia
  • 47.
    Glaucoma 1º deAng cerrado • Complicaciones: Nervio optico
  • 48.
    Glaucoma 1º deAng cerrado • Complicaciones: * Nervio optico * Cristalino
  • 50.
    Glaucoma 1º deAng cerrado • Complicaciones: * Nervio optico * Cristalino * Iris
  • 53.
    Glaucoma 1º deAng cerrado • Complicaciones: * Nervio optico * Cristalino * Iris * Cornea
  • 55.